menu

Bolest předních zubů: Jak poznat, že je čas na návštěvu zubního lékaře?

Bolest předních zubů: Jak poznat, že je čas na návštěvu zubního lékaře?

Úvod k bolesti předních zubů

Přiznejme si to, nikdo z nás nechce strávit více času u zubního lékaře, než je nezbytně nutné. Ale když vás začnou bolet přední zuby, může to být znakem, že je něco špatně a ignorování tohoto signálu může vést k vážnějším problémům. Bolest zubů nemusí být vždy důvodem k panice, ale je důležité vědět, kdy je čas na alarm. V následujících řádcích prozkoumáme, co způsobuje bolest předních zubů, jaké jsou její hlavní příčiny a příznaky, kdy je nutné vyhledat odbornou pomoc a jak můžeme efektivně předcházet jejímu vzniku.

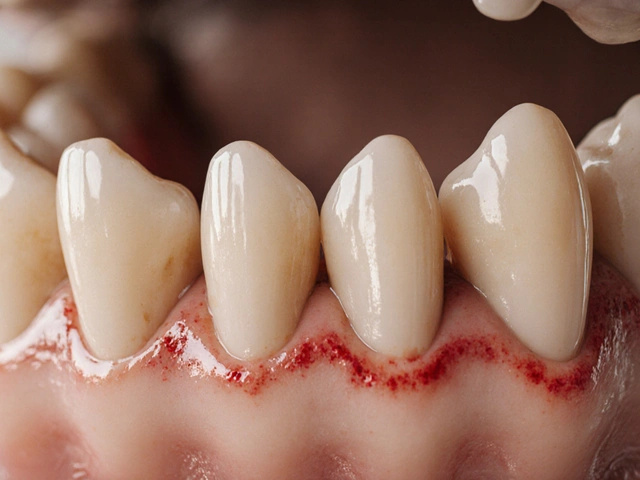
Příčiny a příznaky bolesti předních zubů

Bolest předních zubů může být způsobena řadou faktorů - od neškodných, jako je přechodná citlivost na teplé nebo studené pokrmy, až po vážné zdravotní problémy, jako je zánět zubního nervu nebo zubní kaz. Mezi běžné příčiny patří:

  • Zubní kaz
  • Úrazy a poškození zubů
  • Záněty dásní
  • Problémy s bruxismem (skřípání zuby)

K tomu, abyste lépe porozuměli, kdy je čas vyhledat pomoc, je důležité rozlišovat mezi různými druhy bolesti. Akutní, prudká bolest může být známkou infekce nebo zánětu, který vyžaduje rychlou reakci, zatímco tupá, dlouhodobá bolest může signalizovat problémy, jako je kaz nebo zánět dásní. Jakékoli změny v pocitu vašich předních zubů by měly být motivo...【Content Truncated】

Jakub Štěpánek
Jakub Štěpánek

Jsem renomovaný stomatolog a expert na péči o zuby. Za svou kariéru jsem pracoval v několika předních stomatologických praxích v České republice. Velmi rád sdílím své znalosti a zkušenosti, proto často píši články o péči o zuby a ústní hygienu. Jsem nadšený do dovednosti, které přináším klientům, a hledám nejnovější výzkum a technologie, aby byla péče o zuby co nejeffektivnější a nejpohodlnější.

Vše od autora: Jakub Štěpánek

POSLEDNÍ PŘÍSPĚVKY

prosince 14, 2023
Jak efektivně a bezpečně bělit zuby? Nejlepší metody a tipy

Ahoj, jmenuji se Tomáš a dnes se podíváme na to, jak probíhá bělení zubů. Bělení zubů je proces, o který se zajímá čím dál tím více lidí, kteří touží po zářivém úsměvu. V tomto článku si povíme, jaké jsou moderní metody bělení a které z nich jsou nejen efektivní, ale i bezpečné pro naše zuby. Přiblížím vám své zkušenosti a poradím, na co si dát pozor při výběru procedury. Pojďme spolu objevit, jak můžeme docílit krásného bílého úsměvu a jakou roli v tom hraje správná péče o zuby.

února 15, 2024
Odstranění zubního plaku pomocí jógy: Překvapivé techniky a výhody

Zubní plak může vést k řadě ústních onemocnění, včetně zubního kazu a parodontitidy. Ve světle nedávných objevů se ukazuje, že jóga může hrát úlohu v prevenci a odstraňování zubního plaku. Tento článek objasňuje, jak jogínské techniky doprovázené správnou ústní hygienou mohou vést k lepšímu ústnímu zdraví, představuje překvapivé spojení mezi jógou a péčí o ústa a poskytuje konkrétní praktiky a rady, které může kdokoliv snadno zařadit do svého denního režimu.

března 28, 2024
Fazety na přední zuby: Kompletní průvodce léčbou

V tomto článku se podívejme na proces aplikace fazet na přední zuby, od první konzultace až po konečnou aplikaci. Fazety jsou tenké plátky materiálu aplikované na zuby pro zlepšení estetiky nebo opravu poškození. Proces zahrnuje několik fází, včetně přípravy zubů, výroby fazet a jejich aplikace. Zjistěte, co očekávat během každé fáze a jaké jsou výhody této populární kosmetické léčby.

října 8, 2025
Největší nemocnice v ČR - kde najdete největší kapacitu lůžek?

Zjistěte, která nemocnice má v ČR nejvíce lůžek, proč je to důležité a co můžete očekávat při návštěvě Fakultní nemocnice Motol.

ledna 11, 2024
Účinné Sady Na Bělení Zubů - Krok za Krokem k Perfektnímu Úsměvu

V článku se dozvíte, jak pečovat o vaše zuby pomocí sad na bělení a co dělat pro získání nejlepší zpětné vazby na produkt. Seznámíme se, jak vybrat sadu na bělení, jak ji používat a jaká opatření je třeba dodržovat pro maximální efekt. Jakub sdílí své zkušenosti a radí, jak vyhodnotit reálné výsledky a reagovat na zpětnou vazbu od klientů. Přečtete si i o tom, jak komunikovat s výrobci a správně interpretovat recenze.